APOLLO
RETINÓGRAFO MULTIMODAL UWF
retinografia multimodal com captura ultrarrápida,
inteligência artificial e funções exclusivas para um
diagnóstico preciso e abrangente.
APOLLO RETINÓGRAFO MULTIMODAL UWF
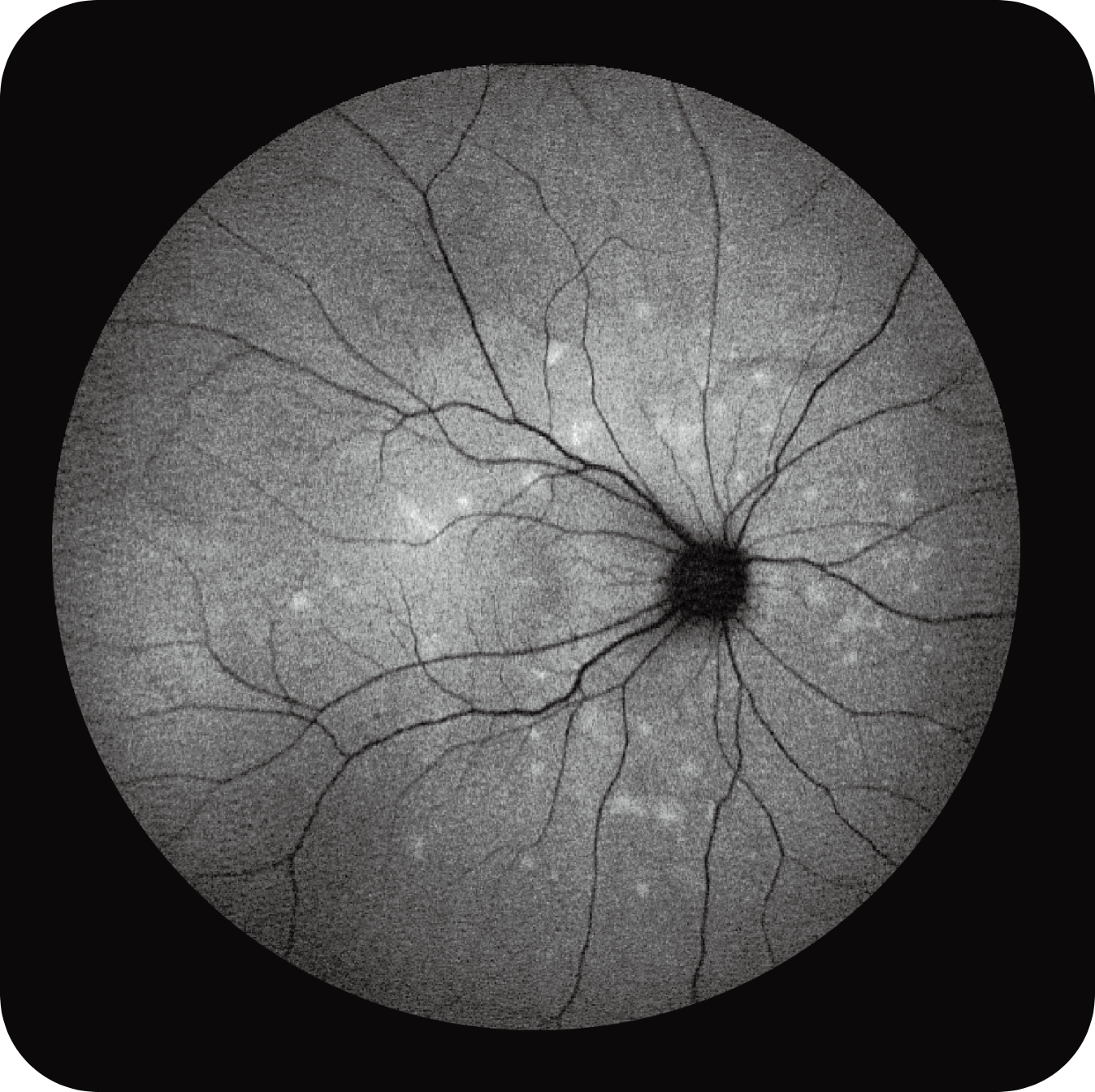
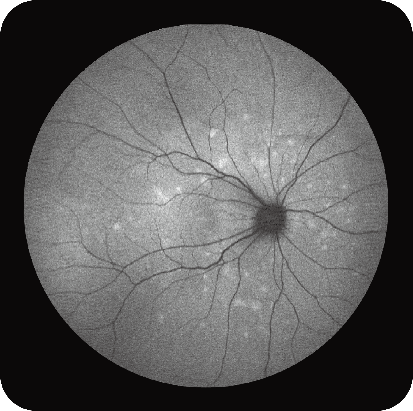
Retinografia multimodal em campo ultrawide
Por que escolher
o APOLLO Multimodal UWF?
O APOLLO é indicado para:
Diagnóstico e acompanhamento de retinopatia diabética, degeneração macular e doenças vasculares da retina.
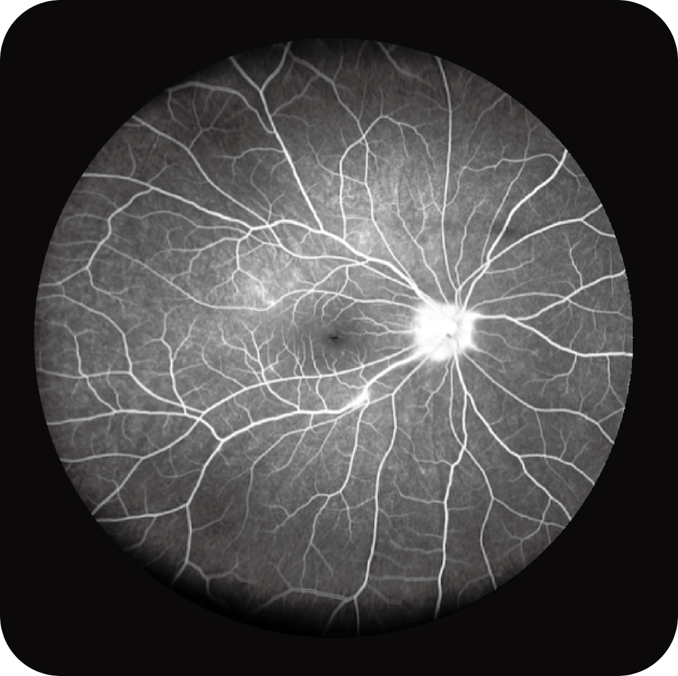
Exames de angiografia fluoresceínica (FA) e indocianina verde (ICG) em alta definição.
Avaliação de patologias periféricas, com campo de até 240°.
Centros que necessitam de fluxo clínico otimizado com suporte de inteligência artificial.
Clínicas que buscam maior precisão em pacientes com catarata ou pupilas pequenas.
O que falam sobre o APOLLO RETINÓGRAFO MULTIMODAL UWF
O que nossos clientes dizem sobre a Suplimed
Médicos de diversas regiões já compartilham como a Suplimed tem elevado a qualidade do atendimento e os resultados clínicos.
A evolução da retinografia ultrawide!
O APOLLO Multimodal UWF da Micro Clear eleva o padrão dos exames retinianos, unindo multimodalidade, ultrawide e inteligência artificial em uma plataforma única. Uma solução completa para clínicas e centros de referência que buscam precisão, rapidez e inovação.















